时间:2023-10-12 10:07
痴呆症是老年人致残的主要原因,阿尔兹海默症(Alzheimer's disease,以下简称AD)是最普遍的一种痴呆症,占所有病例的60-80%。阿尔茨海默病最早的症状是情景性、短期记忆的缺陷,随后是陈述性和非陈述性记忆的进行性损害,绝大多数AD病例(>90%)为迟发性。患者常伴随神经精神症状,导致无法正常生活。AD最关键的病理分子是tau蛋白和淀粉样蛋白- β(Aβ)。
关于AD动物模型的建立,一直是AD研究的热点,尤其是与Aβ有关的AD动物模型的建立更受到人们的关注。通过对大鼠海马内注射可溶性Aβ寡聚体可以建立早期AD的动物模型,该模型在短期内即可模拟出AD的神经元损伤和学习记忆功能障碍等行为学特征,为研究人类AD的发病机制提供了良好研究材料和实验依据。
实例展示
AD模型流程图

图1 AD模型造模流程图
布林凯斯为客户提供AD模型的造模及行为学评价,病理学检测及药效评估服务。
AD模型水迷宫实验造模评价
AD模型常采用Morris水迷宫进行定位航行试验和空间探索试验,证明了模型大鼠的学习记忆能力等行为学具有明显的障碍。大鼠逃避潜伏期可反映大鼠的空间认知能力,而大鼠定位游泳轨迹和穿越次数可反映大鼠的空间记忆能力。逃避时间越短。穿越次数越多,提示动物学习记忆能力越强,反之,则说明学习记忆能力存在障碍。
实验造模后AD大鼠在1周后就出现神经行为学的异常变化,在定位航行试验和空间探索试验中,AD模型组的平均逃避潜伏期显著较正常组和对照组延长,穿越平台次数也明显减少,出现错误次数显著增多,这些结果,提示模型组大鼠在水迷宫试验中学习定位能力显著下降,存在明显的学习、记忆功能障碍。

图2 各组大鼠水迷宫试验逃避潜伏期和游泳时间的比较
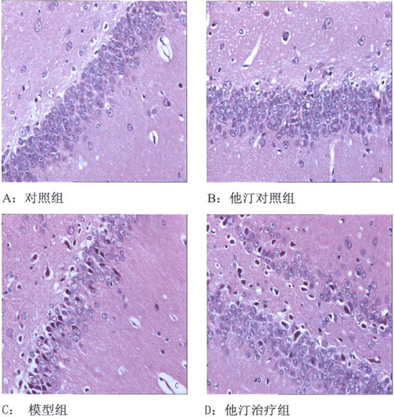
AD模型海马区HE染色检测
Aβ1-40的注射可导致大鼠海马神经元损伤,胶质细胞增多,阿托伐他汀对AD大鼠海马病理改变具有一定的保护作用,神经元损伤减轻,胶质细胞增生减少。通过HE染色可以检测AD模型海马区神经元的形态。

图3 各组海马区HE染色结果
产品目录


参考文献:
1. Kasza Á, Penke B, Frank Z, Bozsó Z, Szegedi V, Hunya Á, Németh K, Kozma G, Fülöp L. Studies for Improving a Rat Model of Alzheimer's Disease: Icv Administration of Well-Characterized β-Amyloid 1-42 Oligomers Induce Dysfunction in Spatial Memory. Molecules. 2017 Nov 18;22(11):2007.
2. Rudnitskaya EA, Maksimova KY, Muraleva NA, Logvinov SV, Yanshole LV, Kolosova NG, Stefanova NA. Beneficial effects of melatonin in a rat model of sporadic Alzheimer's disease. Biogerontology. 2015 Jun;16(3):303-16.

布林凯斯在神经系统疾病相关药效药理评价领域为您提供一站式服务平台。涵盖从基因分子层次到细胞组织层次,再到神经环路,最终到动物的完善行为学评价。
在基因分子层次,布林凯斯通过基因编辑、基因干扰、原位杂交、免疫组化等技术手段,验证基因或蛋白对于细胞生理代谢信号转导、基因表达调控等影响,并在此基础上结合行为实验验证某些分子的功能。
在神经环路层次,布林凯斯通过环路示踪、光遗传学、化学遗传学、电生理等手段分析不同脑区、不同类型神经元之间形成的神经环路结构和功能。了解神经元联系变化带来的巨大表型差异,并对其进行深入的操作和分析。此类研究是目前神经科学的重点发展方向之一。
同时,布林凯斯也提供神经系统疾病造模后的高精度动物行为检测平台,包括但不限于:认知功能检测、运动功能检测、清醒动物多通道在体电生理记录、呼吸记录、听觉、痛觉、焦虑、抑郁、嗅觉功能相关的行为学检测等。
除此之外,布林凯斯还可提供MRI/fMRI/PET-CT的小动物活体成像、心脏超声、X光片、组织荧光成像(全脑玻片扫描、组织免疫荧光成像)、钙成像、共聚焦双光子成像。
欢迎垂询布林凯斯提供的全流程定制化实验,包括方案设计、模型制备、数据采集、分析处理、药效评价一站式平台。
