时间:2021-09-23 11:16
布林凯斯又上线新产品啦~!
这次带来了特异性抑制星形胶质细胞Gq GPCR介导的信号通路的产品---iβARK!!
今天小布为各位老师带来相关介绍~
跟着小布记住这些关键小Tips吧!
什么是iβARK?
国际权威杂志《Neuron》最新报道了能够有效抑制星形胶质细胞活动的工具-iβARK,弥补了这类工具的不足,将极大推动星形胶质细胞功能的研究,在神经环路结构与功能研究领域具有重要的应用价值。
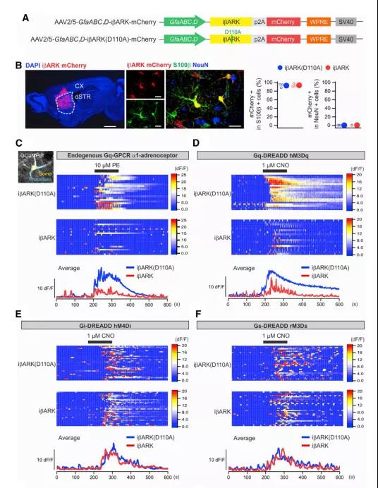
iβARK是来自β肾上腺素能受体激酶1 的122个残基抑制肽,可选择性阻断Gαq GTP激活,抑制星形胶质细胞内Gq-GPCR信号通路介导的Ca2+信号,从而影响小鼠行为活动。iβARK对于探索星形胶质细胞内Gq-GPCR信号通路在不同实验场景下与生理、脑功能和疾病有关的行为,以及对神经系统功能的研究具有重要价值。

iβARK的作用原理图
在哪些研究中应用iβARK?
如果您的研究需要:
1)星形胶质细胞同时与多类型细胞相互作用的研究
2)星形胶质细胞对神经血管耦合的研究
3)脑区星形胶质细胞Gq-GPCR信号通路对调控突触发生、行为活动的研究
4)在疾病背景下,评估星形胶质细胞Gq-GPCR信号通路对环路功能障的研究
布林凯斯iβARK具有哪些优势?
1)iβARK可在全脑星形胶质细胞中选择性表达;
2)特异性抑制星形胶质细胞Gq-GPCR介导的信号通路;
3)不改变星形胶质细胞形态、电生理、自发Ca2+信号和基因表达;
4)可降低小鼠短期记忆相关的行为适应和认知功能。
#Example | 实例展示
实例一:iβARK抑制星形胶质细胞Gq-GPCR诱导的Ca2+信号

实例二:iβARK在小鼠全脑星形细胞中选择性表达

实例三:iβARK抑制受惊吓小鼠星形胶质细胞内Ca2+信号增加

实例四:iβARK抑制c-Fos表达上调,引起小鼠短期记忆缺陷,惊吓适应性降低

有哪些iβARK产品?

参考文献DOI:10.1016/j.neuron.2021.05.023
当然,如果上述描述还不能解答您的疑惑,还可以联系小布获取更有针对性的解答哦~
悄悄告诉各位老师,
上述提及的产品和实验外包服务,
小布都可以完成哦~!
本文未经授权禁止转载
如有需要,可联系小编获取原文
