时间:2021-09-22 11:34
自古以来(bushi),高分SCI都是折磨科研人的一大利器,也是一种无法言说的痛。对于萌新而言,更是对论文构思和实验设计一头雾水。
发高分SCI真的这么难吗?
PubMed数据显示,中国地区每年发文量呈指数上升,其中2019年发文245,233篇,2020年297,680篇,2021年就已经发文182,429篇。这么看起来,发SCI这事也没那么难?
但是除开书籍、Meta分析、Review和灌水杂志,这个数字就没那么客观了。

(来自PubMed)
临床疾病研究一直发文热点,同时医学期刊影响因子也屡创新高。
据Journal Citation ReportsⓇ公布数据,2020年度“神刊”CA(临床医师癌症杂志)从292.278分升至508.702分。NEJM(新英格兰医学杂志)、Lancet(柳叶刀)、JAMA(美国医学会杂志)、BMJ(英国医学期刊)也有所上升。
虽然这些“神刊”离我们还有些(hen)许(da)距离,但我们努力一把拿下10至20分也是没有问题的~!
那么这些高分文章都是什么套路呢?
小布泛读一些近期高分外周疾病相关论文,总结了以下Tips。
这些文章基本线路是(四步Tips):
关键基因筛选
通过基因调控进行表型评估和验证
分子机理研究,寻找靶点或信号通路
体内回复实验
其中第二步和第四步均可利用AAV高效完成。
下面小布分别就肝脏、心脏和肿瘤相关研究举例说明上述实验设计思路。
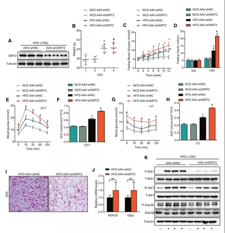
2021年Hepatology刊登的文章《Sirtuin 2 Prevents Liver Steatosis and Metabolic Disorders by Deacetylation of Hepatocyte Nuclear Factor 4α》中,作者首先通过文献调研发现SIRT2基因(关键基因)参与NAFLD(非酒精性脂肪肝炎)病理过程,并通过实验验证SIRT2在NAFLD的表达变化明显。
随后,作者通过AAV介导的肝脏SIRT2的敲低和特异性过表达的NAFLD模型,观察模型表型变化发现,SIRT2确实能够改善高脂诱导的肝脏代谢紊乱及炎症应答。

SIRT2在NAFLD发挥重要作用的分子机制呢?作者研究发现SIRT2通过其去乙酰化的活性来调控NAFLD的表型,接着又发现SIRT2去乙酰化HNF4α K458位点是其重要的调控机制。

整个课题,并没有停在这步,作者又设计了2组体内回复实验来验证其研究结果。通过AAV介导的过表达和敲低验证了HNF4α和SIRT2相互作用,为其结论提供有力支撑。
最后,作者还不忘补充在OB/OB肥胖小鼠模型中AAV介导的基因治疗。
至此,一篇17.424分的研究完成,也涵盖了小布总结的四步Tips。
心脏相关研究也显示相同的设计思(tao)路。
《C1q-tumour necrosis factor-related protein-3 exacerbates cardiac hypertrophy in mice》一文中作者首先,在各种体内外模型中发现关键基因(CTRP3)仅在心肌细胞表达水平异常,暗示可能在心肌肥大中发挥重要作用。

接下来,利用AAV9介导CTRP3基因过表达,发现CTRP3过表达加重心肌肥大模型的心脏损伤功能。反之,CTRP3敲低改善了心肌肥大模型的心脏损伤功能表型。
第三步的分子机制研究中,作者筛选了经典的信号通路和其上游分子,发现了TAK1这一关键靶标,并基本厘清在心肌肥大中CTRP3-TAK1-JNK级联信号通路。
同样的,作者也进行了体内回复实验,验证了之前的结果推测。最后,作者也把CTRP3到TAK1的机制研究也补充进去,使整个研究线路更加完善!
同样的四步Tips也可以用于肿瘤研究中。
Xinjian Liu等人在2020发布的论文中介绍了ASF1B通过稳定CDK9促进宫颈癌进展的研究。作者先从临床病人样本入手,发现ASF1B在宫颈癌组织和细胞系中高表达,确定ASF1B作为关键基因进行研究。
由于肿瘤相关研究中对于原发肿瘤模型很难去构建,作者采用异种移植手段去评价干扰或者过表达ASF1B对表型的改变。
另外,作者利用AAV-shASF1B对肿瘤进行基因治疗,呈现明显的抑制作用。
其后的一系列分子机制检测结果表明,CDK9是ASF1B的关键靶标。

非常可惜的是,这篇文章就此全部结束了,因此这篇文章也只有8分多。
依照思(tao)路,如果按照四步Tips,增加CDK9的体内外挽救实验,或许助此研究更上一层楼!
所以我们再来回顾下,完整的外周文章高分套路--四步Tips。
首先,筛选疾病相关的关键基因。
再利用AAV介导基因干扰/敲低/敲除或者过表达,评估表型变化。
第三步通过系列检测手段寻找靶点和/或信号通路,并进行体内外验证。
最后,对关键靶基因或者信号分子干扰,体内外进行挽救实验,或利用AAV进行基因治疗。
其中第二步和第四步均可利用AAV进行。换言之,AAV也是外周文章提分利器呢!
这个四步Tips,你学会了吗?
如果其间存在任何实验设计、思路探索、AAV使用、AAV构建等问题,均可咨询小布哦!
参考文献:
Ren, Huihui, et al. Hepatology (2021).
Ma, Zhen-Guo, et al. Cardiovascular Research (2019).
Liu, Xinjian, et al. Cell death & disease (2020).
